대략 50 - 모든 아시아 사람의
75 %는 위의 눈꺼풀 접은 주름없이 " 하나의" 눈꺼풀 타입과 함께 즉 태어난다. 위의 눈꺼풀 접은 주름 또는 " 배의" 눈꺼풀의 추가는
눈꺼풀 형성술 (ssangcouple )이라고 이름이 지어지는 과정과 함께 얻게 될 수 있다. 과정은 살찐 제거의 유무에 관계없이 소량의 눈꺼풀
피부를 삭제하는 것을 포함한다. 전 과정은 1시간 미만 보통 계속된다. 기술은 당신은 원하는 눈꺼풀 접은 주름의 안에서 큰 방법에 따라 주문에
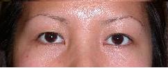
따라 만들어질 수 있다. PREOP:
Asian Female POSTOP:
s/p Asian blepharoplasty PREOP: dermatochalasis (excess lid skin) in Asian male POSTOP:
s/p Asian blepharoplasty PREOP: dermatochalasis (excess skin) in Asian female POSTOP:
s/p Asian blepharoplasty PREOP: dermatochalasis (excess skin) in Asian female POSTOP:
s/p Asian blepharoplasty










