Asian Blepharoplasty

Blepharoplasty,commonly termed double-eyelid surgery, refers to surgery designed to place a pretarsal crease in Asian eyes that are absent a fold. Patients typically desire to look more bright-eyed and want to make applying eyeliner easier. Patients also seek to remove the puffy and tired look associated with a fatty upper lid.


상안검성형술, 일반적인 통칭으론 쌍꺼플 수술이라고 불리우는 이 수술법은 통계학적으로 위의 접히는 눈꺼풀 주름이 없이 하나의 눈커풀을 가지고 태어나는 동양인들을 위한 수술법으로 알려져 있습니다. 눈처짐과 졸린눈등 눈꺼플의 처짐으로 외관상의 고민이 많으신 환자들을 위주로 수술을 시행하고 있으며, 간단한 피부 절제술을 통해, 보다 밝고 또렷하게, 크고 매력적인 모습으로 만들어 주는 가장 대표적인 성형수술법입니다.

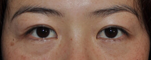
asian-blepharoplasty
PREOP : Younger female (desired larger eyelid creases)
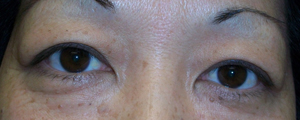
asian-blepharoplasty
POSTOP : s/p Asian Blepharoplasty
asian-blepharoplasty
PREOP : Old male with excess eyelid skin (dermatochalasis)
asian-blepharoplasty
POSTOP : s/p Asian Blepharoplasty
asian-blepharoplasty
PREOP : Old female with asymmetrical eyelids (dermatochalasis)
asian-blepharoplasty
POSTOP : s/p Asian Blepharoplasty
asian-blepharoplasty
PREOP : Old female with excess eyelid skin (dermatochalasis)
asian-blepharoplasty
POSTOP : s/p Asian Blepharoplasty
asian-blepharoplasty
PREOP : Younger female (unilateral incomplete eyelid crease)
asian-blepharoplasty
POSTOP : s/p Asian Blepharoplasty
asian-blepharoplasty
PREOP : Young male (asymmetrical eyelids: ptosis)
asian-blepharoplasty
POSTOP : s/p Asian Blepharoplasty
asian-blepharoplasty
PREOP : Young female desires more symmetrical eyelid creases (had undergo eyelid surgery several years prior)
asian-blepharoplasty
POSTOP : s/p Asian Blepharoplasty
asian-blepharoplasty
PREOP : Younger female (desired larger, symmetrical eyelid creases)
asian-blepharoplasty
POSTOP : s/p Asian Blepharoplasty
asian-blepharoplasty
PREOP : Young male with droopy eyelids (ptosis) since birth (congenital ptosis)
asian-blepharoplasty
POSTOP : s/p Asian Blepharoplasty
asian-blepharoplasty
PREOP : Young female desires excess skin (dermatochalasis) removal
asian-blepharoplasty
POSTOP : s/p Asian Blepharoplasty