Orbit, Tumor, orbital-reconstruction Laceration, Enucleation

Reconstruction involves repair of the orbit and associated structures, including the surrounding skin tissues, tear passages, and bony walls. These can occur from a wide variety of causes, including trauma, nasolacrimal (tear duct) problems, removal of cancer (for example, Mohs' reconstruction after a dermatologist has resected a skin cancer), orbital fracture repair, enucleation (removal of eye) or exenteration (removal of orbit), or other prior surgery.


orbital-reconstruction
PREOP : Eyelid laceration, involving nasolacrimal passage (dog bite)
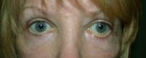
orbital-reconstruction
POSTOP : s/p nasolacrimal repair and eyelid repair
orbital-reconstruction
PREOP : s/p trauma, surgery, and scarring (eyelid retraction)
orbital-reconstruction
POSTOP : s/p scar revision, fat implant, and skin graft
orbital-reconstruction
PREOP : scarring and eyelid refraction from prior surgery
orbital-reconstruction
POSTOP : s/p release of scar tissue
orbital-reconstruction
PREOP : Mohs' excision of eyelid tumor
orbital-reconstruction
POSTOP : s/p Mohs' reconstruction
orbital-reconstruction
PREOP : Mohs' tumor excision
orbital-reconstruction
POSTOP : s/p Mohs' reconstruction
orbital-reconstruction
PREOP : Mohs' excision of eyelid tumor
orbital-reconstruction
POSTOP : s/p Mohs' reconstruction
orbital-reconstruction
PREOP : Mohs' excision of tumor involving lid and lacrimal passage
orbital-reconstruction
POSTOP : s/p Mohs' reconstruction
orbital-reconstruction
PREOP : Mohs' resection of tumor
orbital-reconstruction
POSTOP : s/p Mohs' reconstruction with free flap
orbital-reconstruction
PREOP : ruptured globe (right eye) after trauma
orbital-reconstruction
POSTOP : s/p enucleation (right eye)