Eyelids & Ptosis

Eyelids can be affected in many ways. If only the skin is redundant, this is called dermatochalasis. Repair of redundant eyelid skin is called blepharoplasty. Blepharoplasty can be performed to remove redundant skin or to create an eyelid crease (such as in Asians, in persons who were not born with an eyelid crease, or those who suffered trauma). If the actual eyelid itself is too low, which occurs commonly with time, this is called ptosis. This is repaired by removing eyelid muscle tissue and reattaching the muscles. Eyelids can have other problems; for example, eyelids can turn in (entropion) or turn outwards (ectropion). These are repaired by excising and/or reattaching the appropriate muscles.


eyelid
PREOP: Bilateral ptosis
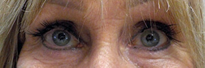
eyelid
POSTOP : s/p bilateral ptosis repair
eyelid
PREOP: Unilateral ptosis
eyelid
POSTOP : s/p unilateral ptosis repair
eyelid
PREOP: Bilateral upper lid ptosis
eyelid
POSTOP : s/p bilateral ptosis repair
eyelid
PREOP: Ectropion
eyelid
POSTOP : Ectropion repair
eyelid
PREOP: Dermatochalasis (excess skin) and ptosis (droopy eyelid)
eyelid
POSTOP : s/p blepharoplasty and ptosis repair
eyelid
PREOP: unilateral ptosis
eyelid
POSTOP : s/p unilateral ptosis repair
eyelid
PREOP: eyelid ptosis and brow ptosis
eyelid
POSTOP : s/p eyelid and brow ptosis repair
eyelid
PREOP: lower lid blepharoplasty
eyelid
POSTOP : lower lid blepharoplasty
eyelid
PREOP: ptosis repair
eyelid
POSTOP : ptosis repair
eyelid
Lower Lid Blepharoplasty
eyelid
Upper Lid Ptosis

Upneeq